
A Food and Drug Administration advisory panel unanimously calls for agency approval of the cell therapy for the treatment of resistant leukemia.

A Food and Drug Administration advisory panel unanimously calls for agency approval of the cell therapy for the treatment of resistant leukemia.

The president has nominated an investment banker for the role.

A review of a 2014 incident in which mystery vials of smallpox were found at the NIH reveals security weaknesses, but also concludes the response was appropriate.

Individuals who received a meningitis B vaccine were less likely to have contracted the sexually transmitted infection than their unvaccinated counterparts.

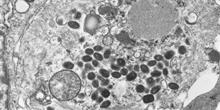
A new study suggests that the mysterious process by which one cell consumes another may be triggered by cell division, potentially helping to fight tumor growth.

Scientists describe the number of vertebrate species experiencing population declines as “biological annihilation.”

The cancer scientist is being held, with his wife and three small children, at Logan International Airport in Boston.

The Broad Institute and others sign on to participate in a platform designed to streamline the licensing process.

These ocean-dwelling arthropods move oxygen through a digestive system in their legs.

Ribosome-inactivating proteins from symbiotic bacteria leave their hosts unharmed.

The pick—Georgia Public Health Commissioner and physician Brenda Fitzgerald—is an experienced public health leader, but lacks research chops.

Fifty countries report strains of the bacteria that are resistant to last-resort antibiotics.